お問い合わせ
072-628-2030

〒567-0885 大阪府茨木市東中条町8-35

診療のご案内

受診される方へ

診療時間表

◎:土曜日 9:00~12:00
  初診の方 8:30~11:30
  再診の方 8:30~12:00
【ネット予約】 
午前 9:30~11:30 午後16:30~19:00
【リハビリ受付時間】
リハビリ午前 9:00~12:00(受付 8:30~11:30まで)
リハビリ午後 16:00~19:30(受付 15:45~19:00まで)
休診日水曜、土曜午後、日曜、祝日
当クリニックは予約制を取っておりません。
診察・リハビリテーションともに来院順となっております。
診療時間
9:00~12:30 初診の方 8:30~11:30 再診の方 8:30~12:00
16:15~19:30 初診・再診の方 16:15~19:30受付終了

当日診察順番予約について

診察順番受付時間

QRコード
午前
直接ご来院頂いた方 8:30より
ネット予約 9:30より11:30
午後
直接ご来院頂いた方 15:45より
ネット予約 16:30より19:00

この順番予約は診察の順番受付専用となります。
(リハビリテーションの順番予約ではありませんのでお間違えのないようお願い致します)

※院外からの順番取りは、一定人数に達すると締め切らせて頂きます。予めご了承下さい。
※順番取り受付時間は診察の進捗具合によって、予告無く変更されることがございますので予めご了承ください。
※午前診察時間内に、午後の順番予約は取れません。

☆迷惑メール対策を設定されている方は、折返しのメールが受信できるように、ドメイン指定受信で「automail@fastlist.jp」や「@fastlist.jp」を許可するように設定してください。

お持ちいただくもの

お持ちいただくものイメージ写真
  • マイナンバーカード(お持ちでない方は資格確認証)や医療証
  • 各種医療証や受給者証(高齢受給者証や乳幼児医療証など)

業務上のケガや病気、通勤途上のケガはその旨をお知らせください。
交通事故で受診される方は、保険会社等へご確認後にお越しください。

以下、お持ちの方のみ

  • 現在服用中のお薬(お薬の説明文書やお薬手帳)
  • 紹介状

個人情報について
当クリニックでは個人情報の取り扱いにはスタッフ一同、細心の注意を払っております。

当クリニックの施設基準について

医療情報取得加算

当クリニックはオンライン資格確認を行う体制を有しています。
当クリニックを受診した患者様に対し、受診歴、薬剤 情報、特定健診情報その他必要な診療情報を取得・活用して診療を行っています。

医療DX推進体制整備加算

当クリニックはオンライン資格確認を行う体制を有しており、受診歴・薬剤情報・特定健診情報・その他必要な診療情報を取得・活用して診療を行っております。
マイナ保険証利用を促進するなど医療DXの推進により、質の高い医療の提供に努めております。

一般名処方加算

当クリニックでは、患者様に必要な医薬品を確保するため、医薬品の供給状況を踏まえつつ、薬局とも連携のうえ、一般名処方(お薬をメーカー・銘柄を指定せず記載すること)を行っております。

外来・在宅ベースアップ評価料(1)

医療現場で働くスタッフの賃金の改善を図り、より良い医療を提供する為に近畿厚生局に届け出を行いました。
患者様の診療費にご負担額が数十円程上がる場合がありますが、医療スタッフの賃上げに全て充てられます。
ご理解とご協力の程、何卒よろしくお願い致します。
厚生労働省の定めに基づき、下記の通り診療報酬点数を算定致します。

  • 初診 外来・在宅ベースアップ評価料(1) 6点(1日につき)
  • 再診 外来・在宅ベースアップ評価料(1) 2点(1日につき)

診療のご案内

超音波骨折治療器
(オステオトロンV)

超音波骨折治療器(オステオトロンV)

低出力パルス超音波(LIPUS)の音圧効果により骨折部位の骨の形成を促進し骨癒合期間を約40%短縮します。(注:効果には個人差があり治療回数が多いほど効果が期待できます)

治療効果の一例(71歳の方で、通常新しい骨ができ始めるまで5~6週かかります)

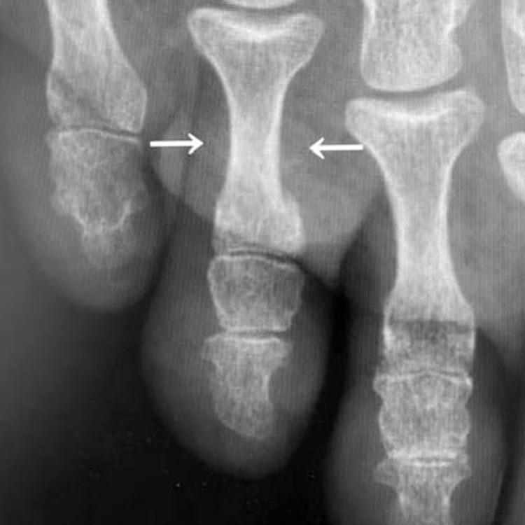
受傷直後のレントゲン写真
受傷直後(わかりにくいですが矢印が骨折部です)
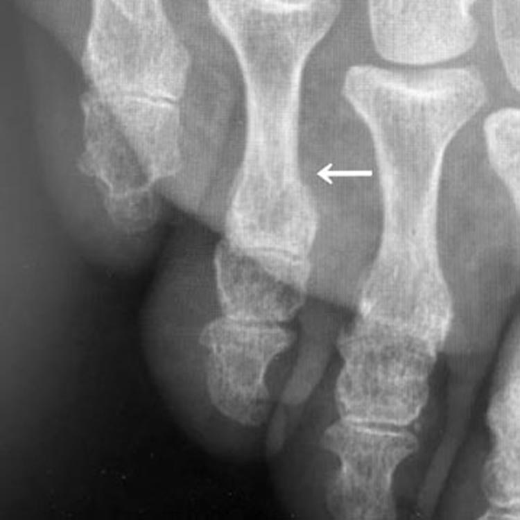
受傷1週後のレントゲン写真
受傷1週後(矢印が骨折部です)
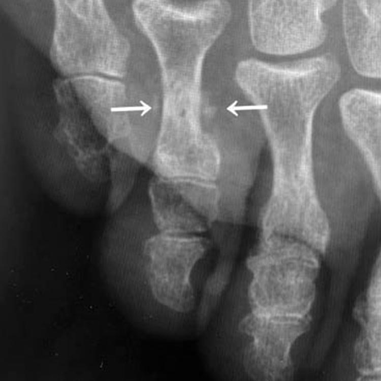
受傷2週後のレントゲン写真
受傷2週後(矢印が新しい骨ができ始めました)
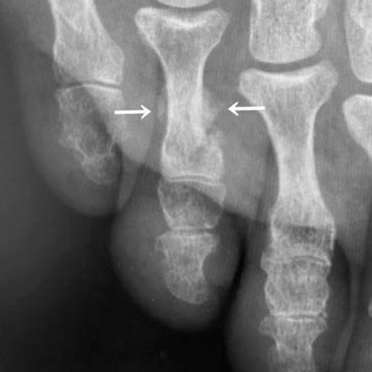
受傷3週後のレントゲン写真
受傷3週後(矢印が新しい骨がかなりできています。この時点で固定を終了しました。)
受傷4週後のレントゲン写真
受傷4週後(順調に新しい骨ができました。)

あらゆる部位の骨折に適応できるため骨癒合期間を短縮し社会復帰、スポーツへの復帰を早めることができます。

院 長
野瀬 優(のせ ゆたか)
診療内容
整形外科・リウマチ科・リハビリテーション科
住 所
〒567-0885
大阪府茨木市東中条町8-35
TEL
072-628-2030
アクセス
電車:
JR茨木駅、阪急茨木市駅より
徒歩10分
バス:
市役所南口より南へ200m
駐車場
クリニック南側の東中条駐車場に
6台分完備(1・2・3・5・28・29番)
◎:土曜日 9:00~12:00
  初診の方 8:30~11:30
  再診の方 8:30~12:00
【ネット予約】 
午前 9:30~11:30 午後16:30~19:00
【リハビリ受付時間】
リハビリ午前 9:00~12:00(受付 8:30~11:30まで)
リハビリ午後 16:00~19:30(受付 15:45~19:00まで)
休診日水曜、土曜午後、日曜、祝日
当クリニックは予約制を取っておりません。
診察・リハビリテーションともに来院順となっております。
診療時間
9:00~12:30 初診の方 8:30~11:30 再診の方 8:30~12:00
16:15~19:30 初診・再診の方 16:15~19:30受付終了
Page Top